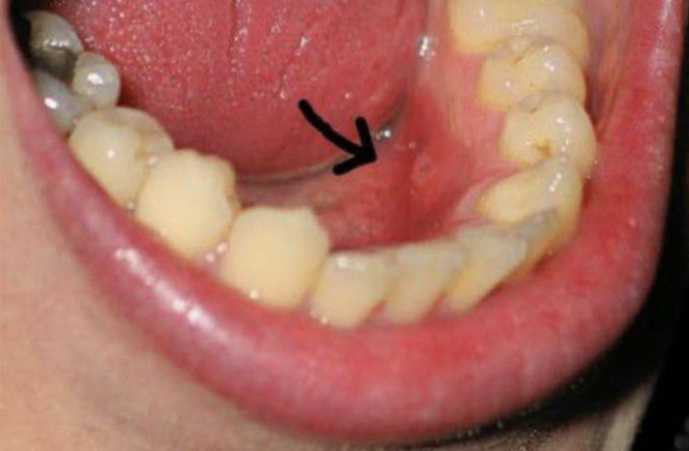
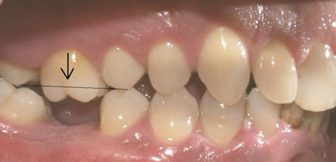
Răng khôn mọc lệch – Nguy cơ tiềm ẩn cho sức khỏe răng miệng và toàn thân
Răng khôn – hay răng số 8 – thường được xem như “cột mốc trưởng thành” của mỗi người, nhưng thực tế, không ít trường hợp sự xuất hiện của chiếc răng này lại mang đến nhiều phiền toái hơn là lợi ích. Theo thống kê nha khoa, hơn 70% răng khôn mọc lệch hoặc […]














